本当に抜歯ですか?歯の再植という選択肢を考えてみては?

歯の再植とは?抜歯を勧められた方へ
― 歯を残す治療の成功率・適応症を歯科医師が解説 ―
「この歯は抜歯してインプラントになります」
そのように説明を受けたとき、
“本当に残す方法はないのだろうか”
と悩まれる方は少なくありません。
歯の再植とは、いったん抜いたご自身の歯に適切な処置を行い、元の位置へ戻すことで、天然歯の保存を目指す治療法です。
すべての症例に適応できるわけではありませんが、適切な診断と精密な処置によって、インプラント以外の選択肢となる可能性があります。
歯を残すという治療選択
インプラントは非常に優れた治療法です。
しかし、どれほど優れた治療であっても、天然歯に勝るものではありません。
歯の再植には、次のようなメリットがあります。
自分の歯で噛める
周囲の歯を削らずに済む
噛んだときの感覚を残せる
だからこそ大切なのは、
「残せる可能性がある歯を、すぐに抜歯してしまってよいのか」
という視点です。
抜歯と診断された場合でも、条件によっては保存できる可能性があります。
歯の再植とは
歯の再植とは、抜歯した歯に対してお口の外で必要な処置を行い、再び元の位置へ戻す治療法です。
特に、次のようなケースで検討されます。
歯根破折が疑われる場合
根の先の病変が大きい場合
再根管治療が難しい場合
ポストや土台が外せず、通常の治療が困難な場合
通常の根管治療や再根管治療では対応が難しいケースでも、再植という方法によって歯を保存できることがあります。
インプラントを勧められた歯でも残せる可能性があるケース
「抜歯しかない」と言われた歯でも、条件が整えば保存できることがあります。
判断のうえで重要になるのは、主に次の点です。
破折の位置
歯周組織の状態
残っている歯質の量
精密な根管処置が可能かどうか
つまり、単に「割れているから抜歯」ではなく、
どこが、どの程度、どのように損傷しているのかを丁寧に見極めることが重要です。
歯の再植の成功率について
歯の再植は、文献的にも比較的良好な成績が報告されている治療法です。
ただし、治療結果は術式の精度に大きく左右されます。
成功のために重要なのは、次のようなポイントです。
抜歯時に歯根膜をできるだけ傷つけないこと
口腔外時間を短くすること
根管内を無菌的に処置すること
破折部を確実に封鎖すること
適切に固定すること
当院では、以下の設備・治療体制を活用し、可能な限り成功率を高められるよう努めています。
マイクロスコープ
歯科用CT
精密根管治療
歯の再植は、ただ戻せばよい治療ではありません。
細かな精度の積み重ねが結果を左右します。なかなか繊細な世界です。歯は小さいのに、要求される仕事はやたら大きいのです。
症例紹介
― 抜歯と言われた歯を再植によって保存できたケース ―
40代男性の患者さまです。
右上の奥歯(右上7)が割れているため、抜歯が必要と診断されて来院されました。
患者さまは、
「できれば自分の歯で噛み続けたい」
という強いご希望をお持ちでした。
精査を行った結果、歯の再植による保存を試みる方針となりました。
まず、できる限り低侵襲に抜歯を行い、口腔外で必要な処置を実施しました。
根管内のガッタパーチャを除去
破折片をスーパーボンドで接着固定
その後、元の位置へ再植し、適切な固定を行いました。
術後は大きなトラブルなく経過し、1年後の時点で以下の状態を維持しています。
自覚症状なし
ルートトランク形成なし
しっかり噛める状態
このように、抜歯と診断された歯でも、条件が整えば保存できる可能性があります。
歯の再植は万能な治療ではありません。
ただし、適応を見極めれば、天然歯を残すための有力な選択肢になります。
治療費について
歯の再植治療は、110,000円(税込)です。
万が一、2年以内に保存が困難となり、インプラント治療へ移行する場合には、インプラント費用から再植治療費を差し引いて対応いたします。
「まずは歯を残せる可能性を検討したい」
という方にも、選択していただきやすい体制を整えています。
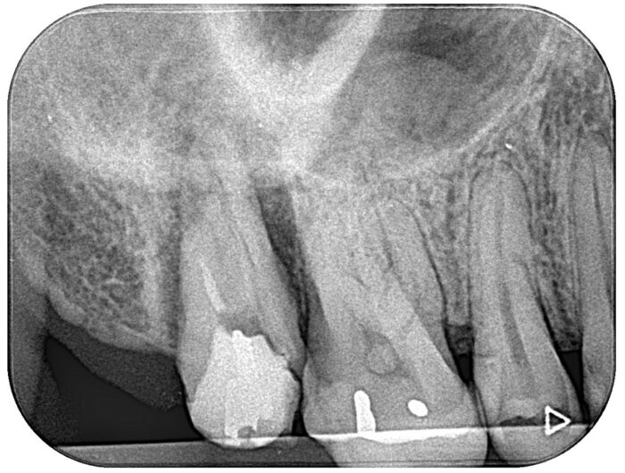
術前
処置直後
術後1年
ほとんど右上7(一番左端の歯)歯の周りに骨が出来上がっています。
歯の再植のメリット・デメリット
メリット
自分の歯を残せる
噛んだときの感覚が残る
周囲の歯への負担を抑えやすい
デメリット
すべての症例に適応できるわけではない
長期的な経過観察が必要
破折の状態や歯周組織の状況によっては予後が限定されることがある
歯の再植は万能な治療ではありません。
ただし、適応を見極めれば、天然歯を残すための有力な選択肢になります。
歯の再植が向いている方
次のような方は、一度ご相談いただく価値があります。
インプラントしかないと言われた方
できるだけ自分の歯を残したい方
できる限り歯を削りたくない方
セカンドオピニオンを希望される方
当院の歯の再植治療について
当院では、歯の再植を
“歯を残すための治療戦略の一つ”
として位置づけています。
抜歯が必要と言われた歯であっても、すぐに結論を出すのではなく、
本当に保存の可能性がないのかを丁寧に診査・診断することを大切にしています。
歯を残すことが難しいケースもあります。
しかし一方で、適切な診断によって保存の可能性が見えてくるケースもあります。
大切なのは、インプラントか保存かを感覚で決めることではなく、
それぞれの治療のメリット・デメリットを理解したうえで、納得して選択することです。
歯を残せる可能性を、一緒に考えてみませんか
「抜歯しかない」と言われた歯でも、残せる方法が見つかることがあります。
すぐに治療を決める必要はありません。
まずは現在の状態を詳しく確認し、歯を残せる可能性があるのかどうかを一緒に考えていきましょう。
当院では、セカンドオピニオンのご相談も受け付けております。
インプラントを勧められた方や、できるだけご自身の歯を残したいとお考えの方は、お気軽にご相談ください。



















