
幅広い治療を
より高いレベルでご提供
〜お子さまから大人まで〜
- 診療時間
- 平日 9:00~12:30/14:30~19:00
土曜 9:00~12:30/13:30~17:00 - 休診日
- 木曜、日曜、祝日、年末年始、GW
このような想いをお持ちの方は
ぜひ当院にご相談ください
- 自分の歯を一本でも多く、長く大切にしたい
- しっかりと説明を受け、納得した上で治療法を選択したい
- 費用や時間がかかっても、質の高い丁寧な治療を受けたい
もし以下のような治療をお考えの場合
当院ではご期待に沿えない
可能性があります
- 「とにかく早く、安く、簡単に」治療を終わらせたい
- 痛みさえとれたら他の治療はしなくてもいい
- 詳しい説明は不要なので、とりあえず治療してもらえたらいい

CONCEPT
堺市、北花田、新金岡の歯医者、インプラント
MYデンタルクリニックの治療コンセプト
いつまでも続くように
堺市北区・北花田・新金岡のMYデンタルクリニックは
地域の皆さまの「噛める喜びと笑顔」がいつまでも続くように、定期検診で早期発見・治療を心がけています。
地域の方と信頼関係を築き、長くお付き合いいただけるよう、より良い医療の提供に努めます。
MYデンタルクリニック
7つのこだわり
地域の皆さまのお口の健康をサポートし、より良い医療を提供できるよう、
こだわりを持って診療しています。
患者さまの気持ちに寄り添った7つのこだわりをご紹介します。

デジタル技術を活用し、
痛みを抑えた精度の高い
インプラント治療
- 他院で断られたケースでも「難症例」に対応
- 1回で終わる手術「抜歯即時埋入」
- 「骨の少ない方」でも対応
- 安心の「10年保証」

見た目と噛み合わせのどちらも
妥協しない矯正治療
- マウスピース矯正治療前に
「3Dシュミレーション」可能 - 「ワイヤー矯正」にも対応可能
- お子さまの口周りの筋肉鍛える
「口腔筋機能療法」 - できる限り「歯を抜かない」
- 04

- 05

- 06
「より安全で安心な治療のために」充実した院内設備と院内環境
治療にはマイクロスコープをはじめとした先進的な機器を導入しています。また、院内感染対策として口腔外バキューム・空気清浄機を設置するほか、器具の消毒と滅菌を徹底しています。
- 07
「患者さまの要望やお気持ちに寄り添う」Age Stageに合わせた治療
患者さまのご要望をしっかりと伺い、お気持ちに寄り添った診療を心がけています。年齢や症状を考慮しながら、なるべくご希望に合わせた治療法をご提案します。
GREETING ごあいさつ

MYデンタルクリニック
GREETING ごあいさつ
患者さまを
自分の家族のように思い
寄り添った治療を
心がけています
「MYデンタルクリニック」院長の松永泰明と申します。当院では、患者さまを自分の家族のように思い、寄り添うことを大切にしています。丁寧なカウンセリングで患者さまのお悩みや不安をくみ取り、お口の状態とご希望に沿った治療法をご提案します。地域の皆さまのお口のお悩みを解決できるように、保険から自費まで幅広い診療をご提供いたします。
「できるだけ削らない・抜かない」治療を追求し、
保険診療でも最大限の精度を目指しています。予防と治療の両面に力を注ぎ、地域の皆さまのお口の健康維持に貢献させていただきます。

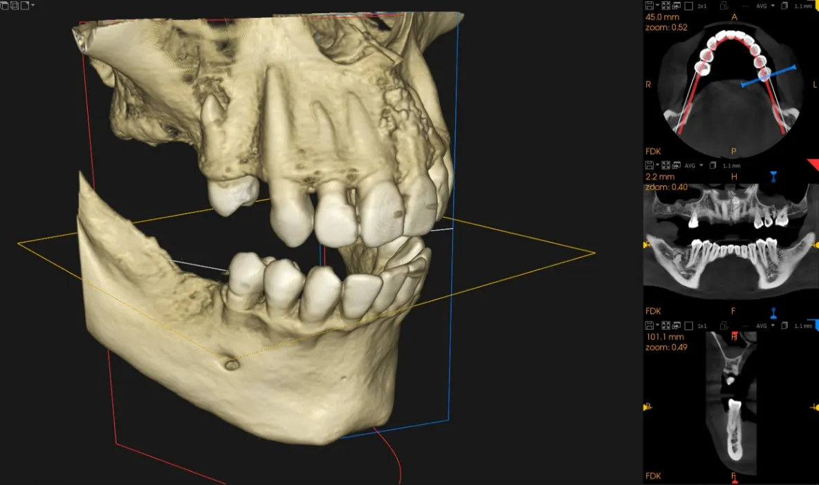
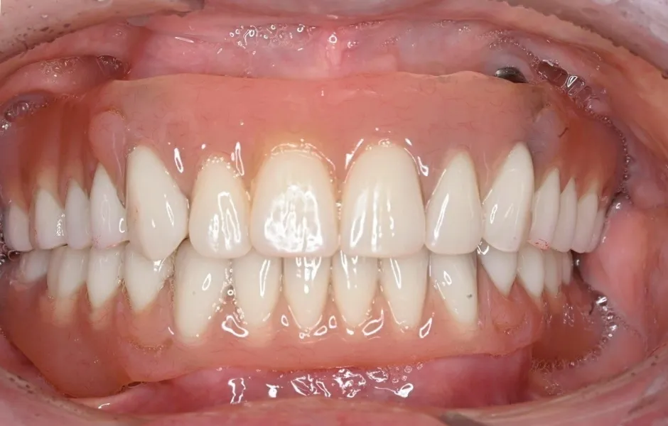
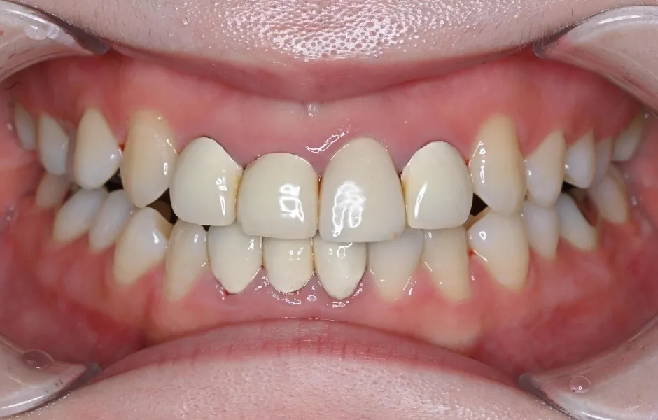
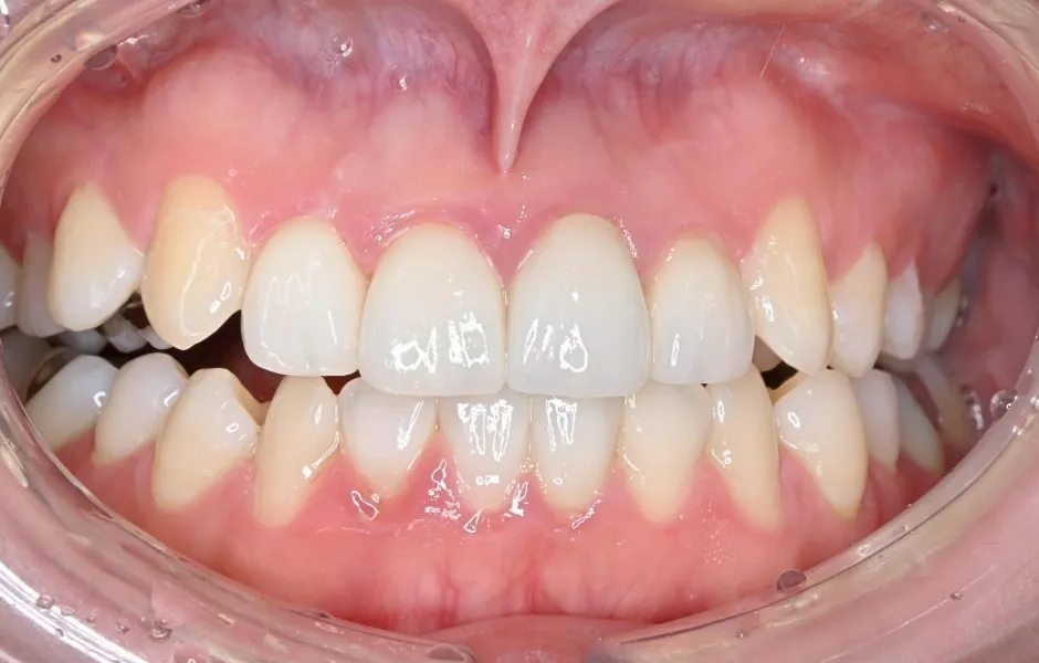
インプラント治療
失った歯を補う方法の1つで、インプラントが歯根の代わりを果たすことで天然歯に近い噛み心地を再現します。当院ではサージカルガイドを使用することで、より精密な埋入を可能とし、術後の痛みや腫れを軽減しています。機能性だけでなく審美性も回復します。
-

インプラント
オーバーデンチャー顎骨に埋入したインプラントで入れ歯を支える方法です。インプラントがしっかりと支えるので、機能性(噛む力)が回復します。また、取り外し可能で清掃も簡単にできます。
インプラントオーバーデンチャー -

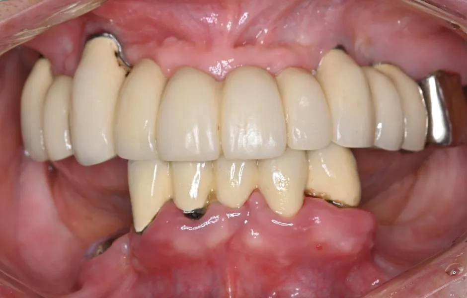
オールオン4・6
歯をすべて失っている方にインプラントを4~6本埋入して、連結した人工歯を支える治療法です。手術回数と埋入数が少ないので、患者さまの体への負担と費用を軽減できます。
オールオン4・6 -

インプラント
リペア
(再治療)埋入後のケアが不充分だとインプラントが脱落するおそれがあります。当院では脱落したインプラントの再埋入、破折やひび割れた人工歯の再治療を行なっています。
インプラントリペア(再治療) -

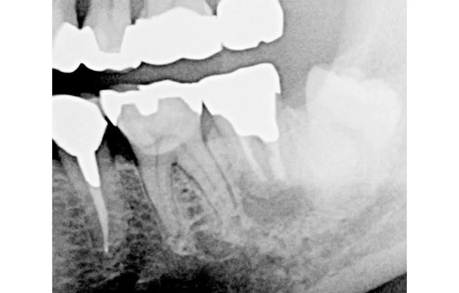
精密根管治療
神経まで進行して炎症を起こしている虫歯に対して行なう治療法になります。感染した神経を取り除き、しっかりと洗浄・消毒し、最後に薬剤を詰めて被せ物を装着します。
精密根管治療 -

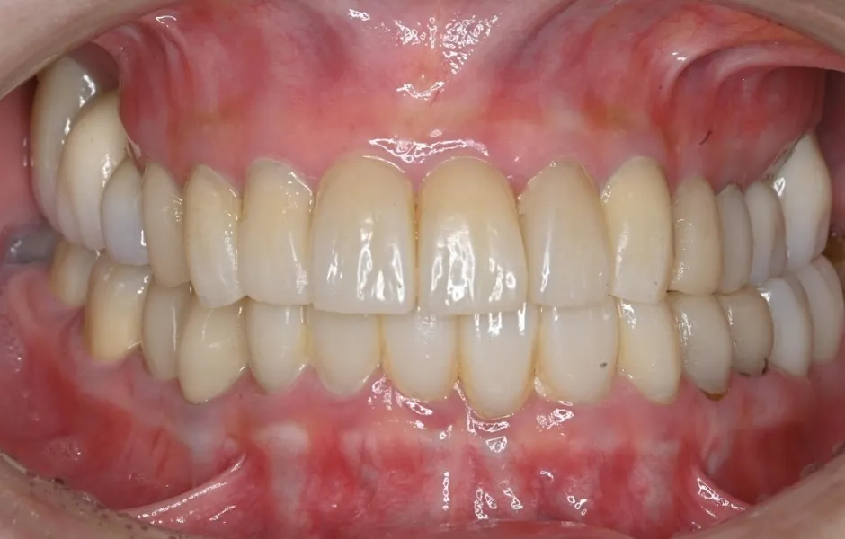
全顎治療・咬合治療
(歯がボロボロ)虫歯や歯周病が悪化して、歯を失っている・ボロボロのまま放置すると、機能性と審美性に影響がでます。お口のトラブルを改善できるよう、さまざまな治療をご提案します。
全顎治療・咬合治療(歯がボロボロ) -

歯周病治療
歯磨きが不充分だと歯肉が炎症を起こし、放置していると歯が抜けてしまいます。医院でのプロによるクリーニングと日々の歯磨きで清潔な状態を保ち、健康を維持します。
歯周病治療 -

小児矯正
お子さまの歯並びは、顎の成長を利用して土台から整える小児矯正がおすすめです。将来の抜歯のリスクや身体的な負担を減らせるなど、多くのメリットが期待できます。
小児矯正 -

成人矯正
透明で目立ちにくいマウスピースを用いた矯正治療で、歯並びを整えます。痛みを抑えて短期間で治療したい方、周りに矯正治療中だと知られたくない方におすすめです。
成人矯正
-

虫歯治療
進行度に合わせて適切に治療します。マイクロスコープを使用することで、虫歯部分をしっかりと削り取ります。痛みを軽減し、なるべく歯を抜かない治療を心がけています。
虫歯治療 -

入れ歯治療
失った歯を補う方法の1つです。患者さまのご希望や予算に合わせて保険と自費から入れ歯を選択いただけます。お口にフィットして、不快感を軽減した入れ歯を作製します。
入れ歯治療 -

小児歯科
お子さまの年齢に合わせた適切な診療を行ないます。フッ素塗布などでお子さまの歯を虫歯から守ります。歯並びやお口の癖で気になる症状があればお気軽にご相談ください。
小児歯科 -

歯科口腔外科
顎関節症や親知らずの治療のほか、歯の破折や脱臼にも対応していますので、お気軽にご相談ください。近隣の医療機関とも連携することで、幅広い治療のご提供が可能です。
歯科口腔外科 -

マタニティ歯科
妊娠中はホルモンバランスの変化やつわりの影響で、お口の状態が変わりやすくなっています。妊娠中にケアをすることで、将来的に赤ちゃんの虫歯になる可能性を軽減します。
マタニティ歯科
CALENDAR 診療カレンダー
平日は9:00~12:30/14:00~19:00
土曜は9:00~12:30/13:30~17:00
木曜、日曜、祝日、
年末年始、GWは休診日になります。
2026.04
| 日 | 月 | 火 | 水 | 木 | 金 | 土 |
|---|---|---|---|---|---|---|
| 1 | 2 | 3 | 4 | |||
| 5 | 6 | 7 | 8 | 9 | 10 | 11 |
| 12 | 13 | 14 | 15 | 16 | 17 | 18 |
| 19 | 20 | 21 | 22 | 23 | 24 | 25 |
| 26 | 27 | 28 | 29 | 30 |
2026.05
| 日 | 月 | 火 | 水 | 木 | 金 | 土 |
|---|---|---|---|---|---|---|
| 1 | 2 | |||||
| 3 | 4 | 5 | 6 | 7 | 8 | 9 |
| 10 | 11 | 12 | 13 | 14 | 15 | 16 |
| 17 | 18 | 19 | 20 | 21 | 22 | 23 |
| 24 | 25 | 26 | 27 | 28 | 29 | 30 |
| 31 |
- :終日休診
- :午前休診
- :午後休診
- :その他
RECRUIT スタッフ募集
当院では地域の皆さまに噛める喜びと笑顔を一緒に届けていただける仲間を募集しています。
歯科医師・衛生士・助手がそれぞれの力を発揮できるほか、経験を積める環境を整えています。














































































