
歯周病治療
- MYデンタルクリニック ホーム
- 歯周病治療

その歯肉のサイン、
見逃していませんか?
日本人の成人の約8割が
歯周病の危険性
歯磨き時の出血、朝のお口のネバつき...
それは歯周病の初期症状かもしれません。
歯周病は初期段階だと自覚症状がほとんどありません。痛みなどが出て気づいたときには大きく進行していることもあるため、「サイレントディジーズ(静かなる病気)」ともよばれています。歯周病が進行すると治療してももとの状態には戻りませんが、もし初めの段階で気づくことができれば、簡単な治療で改善できます。
堺市北区・北花田・新金岡の
歯周病治療なら
MYデンタルクリニック
もしかして歯周病かも?
簡単セルフチェック
歯周病のチェックリストを参考に、同じような症状がないか見ていきましょう。
- 歯肉に痛みを感じている
- 歯肉に赤い腫れが見られる
- ブラッシングをしたときに出血する
- 歯肉から膿が出る
- 口臭がある
- 朝起きると口の中がネバついている
- 食べ物がよく歯に挟まる
- 歯を抜けたままにしている
- 冷たいものがしみる
- 歯肉がムズムズしてかゆい
※5個以上当てはまった方は、歯周病の可能性があります。専門的な検査を受けましょう。
歯周病とは

自覚症状が少ない病気を見逃さないために、定期的な歯科検診は大切です。
歯周病の原因となる細菌に感染し、歯肉や歯を支える歯槽骨といった組織が炎症を起こして溶けていく病気です。細菌が集合している歯垢という汚れが歯と歯周ポケット(歯肉の溝)に溜まり、これを除去できずにいると石灰化して歯石になります。歯石はブラッシングでは取り除くことができず、炎症を拡大させていきます。
主な症状に歯肉の腫れや出血などがありますが、初期段階ではなかなか気づきません。自覚したころには歯周病が進行しているおそれがあり、それでも放置し続けていると骨が痩せていき、歯が抜け落ちてしまいます。
歯周病にかかってしまうと、治療を受けてももとには戻りません。そのため、予防対策や早期発見・治療が基本となります。
歯周病の進行
- STEP 01

歯肉炎
歯肉だけに炎症が起きており、骨にはまだ影響がありません。歯肉が赤く腫れるほか、歯磨きのときに出血することがあります。丁寧な歯磨きで改善できます。
- STEP 02

軽度歯周炎
歯肉がさらに赤く腫れるとともに、歯周ポケットが深くなります。歯垢や歯石が溜まるようになり、骨が溶け始めて歯肉が下がってきます。
- STEP 03

中等度歯周炎
歯周ポケットがさらに深くなるとともに、口臭が強くなります。骨が大きく溶けてくるため、歯がグラグラと揺れるようになります。歯根に歯石などが付着している場合は、専用の器具で取り除きます。
- STEP 04

重度歯周炎
歯を支えている骨が半分以上溶けています。ここまでくると歯がグラグラと揺れており、膿も溜まって強い痛みを感じます。そのまま放置すると歯が自然に抜けてしまいます。
歯周病と全身疾患との関連性

歯周病はお口の病気ですが、全身の健康にも影響を及ぼすことがわかってきました。歯周病の原因となる細菌が出す毒素、それに細菌そのものが血管を通って全身を巡り、糖尿病や心筋梗塞、脳卒中といった病気や妊婦の場合は低出生体重児の出産を引き起こす可能性があります。このほか、呼吸器系の組織に入り込むことで肺炎を起こすリスクもあるなど、全身疾患との関連性が指摘されています。特に高齢の方や全身疾患をおもちの方は日々の生活から注意し、予防を心がけることが大切です。
一人ひとりに寄り添った精密な歯周病治療を心がけています
精密な検査とより正確な診断

プロービング検査
歯と歯肉の間にできる歯周ポケットの深さを測り、歯周病の進行度を調べる検査です。プローブという針状の器具を溝に差し込んで検査します。また、このときに出血の有無や歯肉の弾力などを合わせて確認します。

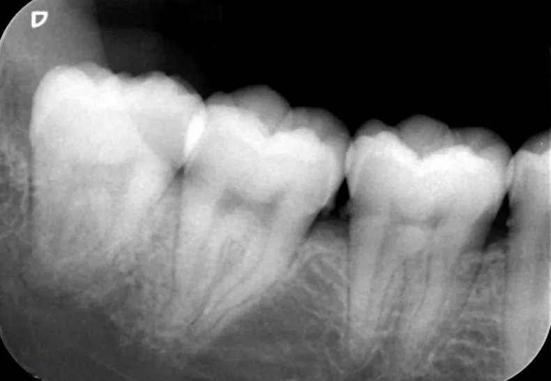
レントゲン検査
歯周病によって歯槽骨がどれくらい失われたか、本来の高さからどの程度減ってしまったかレントゲン検査で確認します。また、顎や副鼻腔といった周辺組織の状態も調べられます。

口腔内写真の撮影
お口の中を撮影し、患者さまにも現在の状態をご確認いただきます。実際のお口の写真を見ながら、どのような治療が必要かご説明することで、治療の重要性・妥当性などをご理解いただけると思います。また、治療後の改善したお口を撮影して、治療前後の比較もできます。歯肉の状態が改善すると、口元の見た目も美しくなります。
一人ひとりに合わせた治療

クリーニング
歯肉炎のような初期症状であれば、歯垢やバイオフィルムなどの汚れを取り除くためのクリーニングを行ないます。細菌が溜まらない清潔な口腔環境を作り出し、歯周病の進行を予防します。

SRP
(スケーリング・
ルートプレーニング)歯周ポケットなどに付着している歯石を取り除く処置です。歯周炎の初期段階ではスケーリングを行ないますが、歯石が歯周ポケットの深いところにある場合は、ルートプレーニングで汚れを取って、歯根の表面を滑らかにします。

OHI(ブラッシング指導)
炎症が始まったばかりの段階であれば、正しいブラッシングを身に付けることで自然治癒をサポートできます。患者さまの歯並びに合った磨き方をお伝えし、歯と歯肉の間のように磨きにくいところをきれいにできるようにします。
歯周外科治療

進行した歯周病に対する外科的アプローチ
歯周基本治療でも歯周ポケットの改善が見られない場合に行なう外科処置です。歯肉を切開して歯根の表面を直接見える状態にすることで、スケーリングでは取り切れない深部の歯石や感染した組織を徹底的に除去します。歯周病の悪化を食い止め、歯を支える組織を健康な状態に導きます。
歯周形成外科治療の種類
- CTG(結合組織移植術)
歯周病などによって歯肉が下がり、歯根が露出してしまった部分を覆うための治療法です。上顎の口蓋(こうがい)から結合組織の一部を採取し、歯肉が足りない部分に移植します。見た目を改善するとともに、歯がしみる知覚過敏の症状を緩和する効果も期待できます。
- FGG(遊離歯肉移植術)
歯の周りの角化歯肉(硬くて丈夫な歯肉)が不足している場合に行なう治療法です。上顎の口蓋から歯肉を採取し、必要な部分に移植することで、歯肉の幅を増やして強化します。清掃しやすい丈夫な歯肉を作ることで、歯周病の進行や再発を予防します。
歯周組織再生療法

失われた骨を再生させる先進治療
歯周病によって溶かされてしまった歯槽骨(歯を支える骨)などの歯周組織は、通常の歯周病治療だけでは元に戻りません。歯周組織再生療法は、外科的に歯石などを除去した後、エムドゲインやリグロスといった薬剤、あるいは特殊な膜などを用いて、失われた骨や歯根膜などの再生を促す先進的な治療法です。すべての症例に適用できるわけではありませんが、骨の欠損状態などの条件が合えば、歯を抜かずに保存できる可能性を高めることができます。
歯周組織再生療法の種類
- エムドゲイン治療
歯周外科手術の際に、歯根の表面に「エムドゲインゲル」という薬剤を塗布し、歯周組織の再生を促す治療法です。このゲルの主成分は、歯が生える際に重要な役割を果たすタンパク質の一種です。この働きによって、歯周病で失われた歯槽骨や歯根膜などの歯周組織の再生を誘導し、歯を支える土台の回復を期待できます。
- GTR法(歯周組織誘導法)
歯周外科手術で歯石などを除去した後、骨が失われた部分に「メンブレン」という特殊な膜を設置する治療法です。この膜が壁の役割を果たし、治癒の早い歯肉が入り込むのを防ぎます。これにより、骨が再生されるためのスペースが確保され、歯槽骨や歯根膜といった本来あるべき組織の再生を誘導することができます。
- リグロスを使用した治療
日本で開発された歯周組織再生医薬品です。歯周外科手術の際に、骨の失われた部分にリグロスを塗布することで、歯周組織の再生に必要な細胞の増殖を促します。歯周病によって破壊された歯槽骨などの組織の再生を促進させ、歯を支える機能の回復を期待できる治療法です。
当院の歯周病治療の特長

日本歯周病学会が提唱する
治療計画にのっとった治療
MYデンタルクリニックの治療計画は、日本歯周病学会が作成したガイドラインにもとづいて立案しています。このガイドラインでは歯周病治療を段階的に細かく分類し、適切な指針を提示しています。歯周病の基本情報を押さえたプランにより、効率的に治療を進められます。

重度の歯周病治療として
歯周外科治療に対応
歯周病が重症化すると治療が大がかりなものになり、外科的な治療を要するケースもあります。院長の松永泰明は大阪歯科大学で口腔外科を学び、歯周外科治療について多様な実績と知識をもっています。重度の歯周病に対して適切な診断のもと、改善するためのアプローチをかけることができます。

妊婦さんのための
歯周病予防に力を入れています
妊娠中は女性ホルモンの影響によって虫歯や歯周病にかかりやすくなります。しかし、妊娠期間は体調の変化が大きく、歯医者さんに通うだけでも大きな負担になります。歯周病は低出生体重児の出産リスクを高めるため、妊婦さんが安心して歯周病予防を受けられる体制を整えています。妊娠されている方もお気軽にご相談ください。

モチベーション維持も考慮した
歯周病治療
患者さまが治療に対してモチベーションを保てるよう、口内写真をこまめに撮影して健康状態の変化をお伝えするなどしています。改善してきたことが一目でわかると、治療への姿勢がよりポジティブになります。
歯周病を克服し、健康な歯肉を維持するためのステップ
- STEP 01

初診・検査
カウンセリングや問診を経て、口腔内検査を行ないます。先端的な装置を駆使して歯周病を進行させている要因を究明し、分析結果を治療計画に落とし込みます。
- STEP 02

診断・治療計画の説明
診断結果を患者さまにご説明します。歯周病の進行状態などをお伝えし、治療内容や費用、期間などを含めた治療計画をお話しします。ご納得いただけましたら治療に進みます。
- STEP 03

初期治療
病状の程度にかかわらず、歯周病の原因である歯垢や歯石を除去します。スケーリングやルートプレーニングによって汚れを取り除き、歯面を滑らかにします。
- STEP 04

再評価
歯垢や歯石を取り除く初期治療により、歯周組織が改善されているか確認します。歯周ポケットの深さを再び測り、深さが浅くなっていれば維持するためのメンテナンスに移ります。
- STEP 05

外科治療(必要な場合)
初期治療だけでは歯周ポケットが改善されない場合、歯肉を切開して歯根面が見える状態にし、歯石や汚染されたセメント質などを取り除いて歯根面を滑らかにします。
- STEP 06

再評価
治療したところがどれくらい改善したか確認します。歯周ポケットが浅くなり、歯の動揺も少なくなって許容範囲と判断されればメンテナンスに移行します。
- STEP 07

定期メンテナンス
歯周病は再発しやすい病気なので、治療後はメンテナンスを受けて再発予防を継続します。クリーニングやブラッシング指導により、健康な歯肉の状態を維持します。
歯周組織再生療法の費用について
| 診療内容 | 料金(税込) |
|---|---|
| リグロスによる再生療法 | 保険適応 |
| エムドゲイン | 110,000円 |
| CTG・FGG | 110,000円 |
| クラウンレングスニング | 110,000円 |
| ルートカバー | 110,000円 |
歯周病治療のよくあるご質問
- Q
歯周病を放置するとどうなりますか?
A歯周病が自然に治ることはありません。初期段階は自覚症状が少ないので、気づいたときにはある程度進行している場合もあります。定期的に通院して、歯周病の有無を確認することをおすすめします。
- Q
ブラッシングのときに出血することもあればしないこともあります。なぜでしょうか?
A歯肉に炎症が起きているときは、ブラッシングのような少しの刺激でも出血してしまいます。ただし、炎症はその日の健康状態などに左右されるため、毎日出血するとは限りません。出血が1度でも見られた場合は、受診するようにしましょう。
- Q
歯周病の原因とされる歯垢とはなんですか?
A歯に付着している水に溶けにくい沈着物です。細菌や代謝物が集合しており、歯周病を進行させる汚れになります。日々のブラッシングで取り除き、歯石にならないように管理しましょう。
- Q
歯周病を予防するとどのようなメリットがありますか?
A歯周病が悪化すると、段階に応じて治療期間が長くなり費用負担も増えます。予防の一環として定期検診を受けて初期段階で発見できれば、時間や費用を抑えられます。もちろん、お口の健康維持にもつながり、長く食事を楽しめるようになります。
- Q
治療後はどのように過ごせば良いですか?
A歯周病は再発しやすい病気です。普段から丁寧に歯磨きをするとともに、定期検診を受けて健康状態をチェックしましょう。クリーニングを受けるなどしてメンテナンスを継続することが大切です。

手遅れになる前に
歯周病から
あなたの大切な歯を
守りましょう
気になる症状がある方はもちろん、自覚症状がない方も、
まずは歯周病検査をおすすめします。
歯周病治療について、まずは問い合わせしてみる
リスク・副作用
歯周病治療/歯周組織再生治療/歯周外科治療にともなう一般的なリスク・副作用
- 内容によっては自費(保険適用外)となり、保険診療よりも高額になります。詳細は歯科医師にご確認ください。
- 歯周病の進行状況によりますが、歯垢や歯石の除去時に痛みを感じることがあります。
- 治療に対して患者さまが協力的でない場合は、改善に歯周外科治療や歯周組織再生療法が必要になることがあります。その場合、歯肉を切開するため腫れや痛みをともなうことがあります。
- 治療後歯肉が下がることがあります。
- 治療によって歯肉が引き締まってくるため、被せ物と歯肉の段差とが目立つことがあります。
レントゲン装置を用いた検査にともなう一般的なリスク・副作用
- 治療内容によっては保険診療となることもありますが、基本的には自費(保険適用外)での診療となり、保険診療よりも高額になります。
- 診査中はできるだけ顎を動かさないようにする必要があります。
- 人体に影響しない程度(アナログレントゲン撮影装置の1/10以下)のごくわずかな被ばくがあります。
- ペースメーカーを使われている方、体内に取り外せない金属類がある方、妊娠中または妊娠の可能性のある方は検査を受けられないことがあります。
クリーニング・PMTCにともなう一般的なリスク・副作用
- 内容によっては保険適用となることもありますが、歯の病気の治療ではないため自費(保険適用外)となることもあり、その場合は保険診療よりも高額になります。詳細は歯科医師にご確認ください。
- 歯科医院でのクリーニング・PMTCだけでは、虫歯・歯周病の予防はできません。日ごろから歯磨きなどのケアに努めることで、予防効果を上げられます。
- 歯肉の腫れや歯肉炎のある方は、器具が当たることにより痛みや出血をともなうことがあります。
- 歯と歯肉の境目への歯石の付着が多い方は、歯石除去後、歯肉から出血が見られることがあります。多くの場合、クリーニング後しばらくすると出血は治まり、1~2日で歯肉は治癒します。
- 着色汚れや歯垢・歯石はクリーニング・PMTCで除去できますが、効果は永続的ではありません。いずれも再付着するものなので、定期的に受診して処置を受けることが大切です。




































